7801 38th Ave. N.,
St. Petersburg, FL 33710

Over 1500 Reviews on Social Media Platforms

Welcome to the Advanced Center For Cosmetic Dentistry Smile Transformations Gallery! Our team is dedicated to creating healthy, confident smiles using the latest treatment techniques. Take a look at our beautiful transformations to see how our dental professionals can help give you the smile of your dreams!

before treatment afterbefore treatment
before treatment afterbefore treatment
before treatment afterbefore treatment

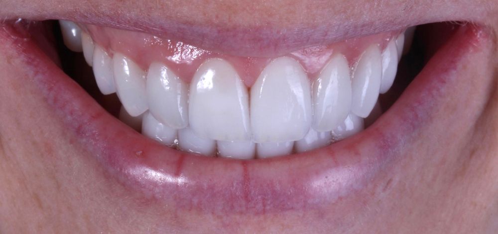
Cosmetic Smile Transformation

before treatment afterbefore treatment
before treatment afterbefore treatment
before treatment afterbefore treatment
before treatment afterbefore treatment
before treatment afterbefore treatment
before treatment afterbefore treatment
before treatment afterbefore treatment
before treatment afterbefore treatment
before treatment afterbefore treatment
before treatment afterbefore treatment
before treatment afterbefore treatment
before treatment afterbefore treatment

Cosmetic Dentist Proudly Serving
St. Petersburg

St. Petersburg Seal

Schedule Your Visit

Have Any Questions?
Call Us Today at: (727) 345-2064

Office
Hours
Our
Doctor
New
Patients